Members Login
Username 
 
Password 
    Remember Me  
 Add/remove tags to this thread

Topic: âÍÎҪԴѹ¡ÒõÃǨ MRI ÊÁͧ Å´ÍѵÃÒµÒ¨ҡ¡Òê¡ÁÇÂ

Page 1 of 1  sorted by
Guru
Status: Offline
Posts: 6650
Date: Aug 6, 2010

âÍÎҪԴѹ¡ÒõÃǨ MRI ÊÁͧ Å´ÍѵÃÒµÒ¨ҡ¡Òê¡ÁÇÂ

Permalink   

497402-fig1.jpg

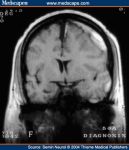
ÁÃ. ÎÔà´ÂÙ¢Ô âÍÎÒªÔ Í´ÕµáªÁ»ìâÅ¡ÃØè¹ 105 »Í¹´ì¢Í§ WBC áÅÐ WBA ÇÑ 45 »Õ ªÒÇ­Õè»Øè¹ ·Õè´ÓçµÓá˹觻Ãиҹ¢Í§ÊÁÒ¤ÁÁÇÂÍÒªÕ¾áËè§»ÃÐà·È­Õè»Øè¹ ËÃ×Í Japan Pro Boxing Association (JPBA) ÍÂÙè㹻Ѩ¨ØºÑ¹ ä´éàµÃÕÂÁ¡Ò÷Õè¨Ð¼ÅÑ¡´Ñ¹ãËéÁÕ¡ÒõÃǨÊÁͧ¹Ñ¡ÁÇ´éÇÂàÍç¡«ìàÃÂì¤Å×è¹áÁèáËÅç¡ ËÃ×Í Magnetic Resonance Imaging (MRI) à¾×è͵ÃǨËÒÀÒÇÐàÅ×Í´ÍÍ¡à©Õº¾ÅѹãµéàÂ×èÍËØéÁÊÁͧªÑé¹´ÙÃÒ ËÃ×ÍAcute Subdural Hematoma (ASH) «Ö觨ҡ¢éÍÁÙÅ㹻Ѩ¨ØºÑ¹ä´éºè§ªÕéÇèÒ ÀÒÇдѧ¡ÅèÒǹÑé¹à»ç¹ÊÒà˵آͧ¡ÒÃàÊÕªÕÇÔµ·Õ辺ºèÍ·ÕèÊØ´¢Í§¹Ñ¡ÁÇÂÊÒ¡ÅÍÒªÕ¾


â´ÂàÁ×èÍÇѹÇÒ¹·Õè¼èÒ¹ÁÒ¹Ñé¹ ä´éÁÕ¡ÒûÃЪØÁÊÑÁ¹Ò·Ò§¡ÒÃá¾·Âì¢Í§ JBC-JPBA ¤ÃÑé§·Õè 2 ¢Öé¹ã¹¡Ãاâµà¡ÕÂÇ »ÃÐà·È­Õè»Øè¹ â´ÂÁÕµÑÇá·¹¢Í§ÂÔÁǵèÒ§æ·ÑèÇ»ÃÐà·ÈÃèÇÁ 130 ¤¹ à¢éÒÃèÇÁ»ÃЪØÁÒÊÒà˵آͧ¡ÒÃàÊÕªÕÇÔµ¢Í§¹Ñ¡ÁÇÂÊÒ¡ÅÍÒªÕ¾ â´ÂÃÒ§ҹÃкØÇèÒÊÒà˵ØÊèǹãË­è¹Ñé¹ÁÒ¨Ò¡ ÀÒÇÐàÅ×Í´ÍÍ¡à©Õº¾ÅѹãµéàÂ×èÍËØéÁÊÁͧªÑé¹´ÙÃÒ ËÃ×ÍAcute Subdural Hematoma (ASH) «Öè§áµèà´ÔÁ¹Ñé¹ä´éÁÕ¡ÒÃãªéàÍç¡«ìàÃÂì¤ÍÁ¾ÔÇàµÍÃì ËÃ×Í CT Scan 㹡ÒõÃǨÊÁͧ¢Í§¹Ñ¡ÁÇÂÍÒªÕ¾ ·Ñé§¡è͹·Õè¨Ð¢Öé¹·ÐàºÕ¹ËÃ×Í ËÅѧ¨Ò¡á¾é¹çͤ㹡ÒÃá¢è§¢Ñé¹ ÃÇÁä»¶Ö§¹Ñ¡ÁÇ·ÕèÁÕÍÒ¡ÒüԴ»¡µÔ·Ò§ÊÁͧËÅѧ¨Ò¡¡ÒÃá¢è§¢Ñ¹ «Öè§·Ò§âÍÎÒªÔáÅзÕÁ§Ò¹ÈÖ¡ÉÒ¹Ñé¹ÁÕ¤ÇÒÁàËç¹ÇèÒ ¡ÒÃàÍç¡«ìàÃÂìÊÁͧ´éÇ MRI Scan «Öè§ÁÕ¤ÇÒÁÅÐàÍÕ´áÅÐáÁè¹ÂÓÁÒ¡¡ÇèÒ CT Scan ¹Ñé¹ ¹èÒ·Õè¨Ð¶Ù¡¹ÓÁÒãªéá·¹ CT Scan à¾×è͵ÃǨËÒ¤ÇÒÁ¼Ô´»¡µÔ·Ò§ÊÁͧ¢Í§¹Ñ¡ÁÇ ·Ñé§¹Õéà¾×èÍ¡ÒõÃǨÇÔ¹Ô¨©Ñ·ÕèáÁè¹ÂÓáÅÐÃÇ´àÃçÇÁÒ¡¢Öé¹ Íѹ¹èҨйÓä»ÊÙè¡ÒÃÅ´ÍѵÃÒ¡ÒÃàÊÕªÕǵԢͧ¹Ñ¡ÁÇÂÍÒªÕ¾ä´éÁÒ¡¢Öé¹´éÇ «Ö áÅÐ JPBA ¹Ñ鹡ÓÅѧ·Õè¨Ð¼ÅÑ¡´Ñ¹ãËéÁÕ¡ÒÃãªé§Ò¹ MRI Scan á·¹·Õè¢Í§ CT Scan ã¹Í¹Ò¤µÍѹã¡Åé¹Õé áÁéÇèҨеéͧàÊÕ¤èÒãªé¨èÒ·ÕèÁÒ¡¢Ö鹡çµÒÁ


ªÕÇÔµ¢Í§¤¹ÂèÍÁÁÕ¤ÇÒÁËÁÒÂáÅÐÁդس¤èÒÁÒ¡¡ÇèÒµÑÇà§Ô¹ÁÒ¡¹Ñ¡ !



Attachments
__________________

Website Hit Counter
HTML Counter


¡ÅѺ价Õè ˹éÒËÅÑ¡¢Í§àÇçºä«´ì

ä»·Õè BB ·ÇÔµàµÍÃì

ä»·Õè BB à¿«ºØê¤

Senior Member
Status: Offline
Posts: 324
Date: Aug 9, 2010
Permalink   
à»ç¹¤ÇÒÁ¤Ô´·Õè´Õ¤ÃѺ¼Á

__________________
Page 1 of 1  sorted by
Quick Reply

Please log in to post quick replies.


Website Hit Counter
HTML Counter


Create your own FREE Forum
Report Abuse
Powered by ActiveBoard